Patient:Screwless Dental Implants Cost: What You’re Really Paying For Age:30 Time:2026-01-08 View:1148
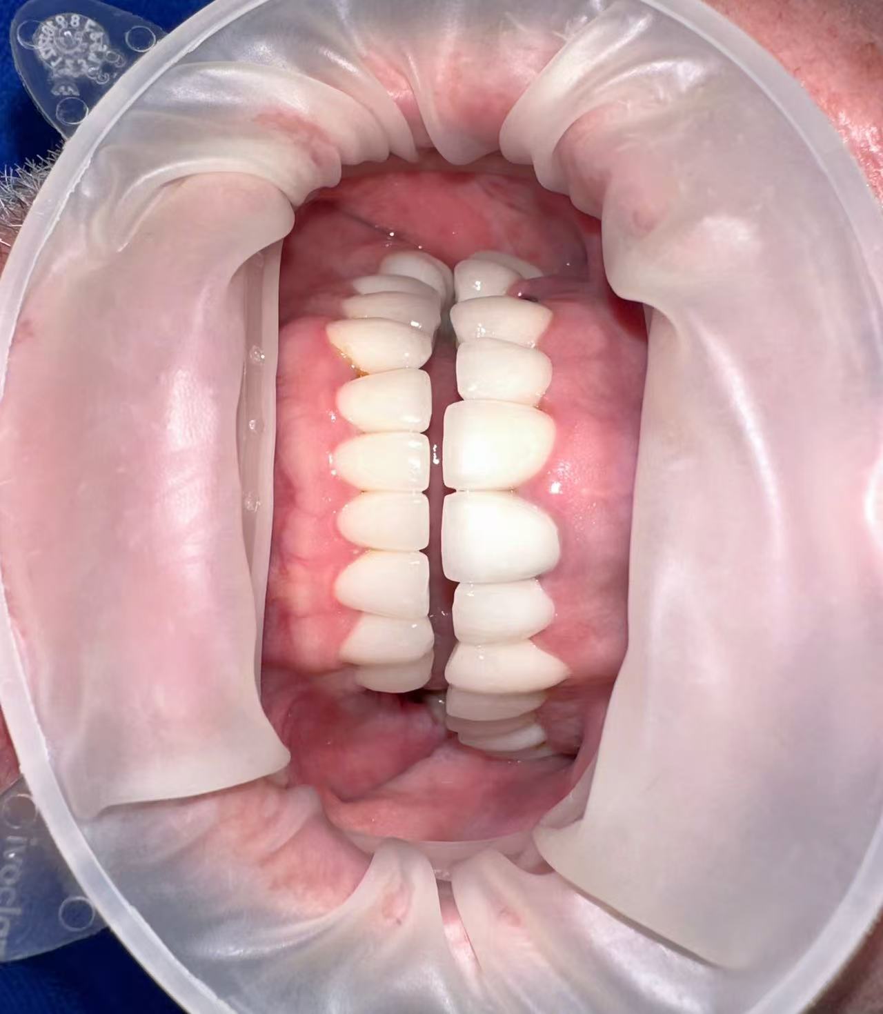
Screwless dental implants, often referred to as cement-retained or friction-fit implant restorations, are designed to secure the final crown or bridge without visible screw access holes.
From a patient’s perspective, the appeal is obvious:
A more natural-looking tooth
No visible access points
A restoration that feels closer to a real tooth
From a clinical perspective, screwless systems focus on precision, passive fit, and aesthetics, rather than mechanical fastening alone.
![]()

Interest in screwless dental implants has grown not because they are new, but because patient expectations have changed.
Today’s implant patients are not only asking:
“Will it work?”
They are also asking:
“Will it look natural?”
“Will it feel permanent?”
“Will it age well over time?”
Screwless restorations are often positioned as a premium solution, particularly for visible areas or full-arch restorations where aesthetics and comfort matter as much as function.
Traditional screw-retained implants require an access channel through the crown. While functional, this opening must be filled and maintained. Screwless systems eliminate this entirely.
Because there is no mechanical screw to “pull things into place,” screwless implants demand extremely accurate planning, impressions, and fabrication.
The success of a screwless implant relies heavily on the experience of the restorative dentist and dental laboratory — not just the implant itself.
This shift in responsibility is one reason why cost structures differ.
When people search for “screwless dental implants cost,” they often expect a simple answer. In reality, cost is shaped by multiple professional and technical factors, not just the implant brand.
Screwless systems are not suitable for every case. Additional diagnostics and planning are often required to ensure long-term success.
High-quality ceramics, custom abutments, and precision-milled components are commonly used, increasing laboratory involvement.
Screwless restorations typically require:
More chair time
More adjustments
Higher restorative skill
You are not just paying for materials — you are paying for judgement and experience.
Because removal is less straightforward than screw-retained systems, long-term planning and case design play a critical role in overall value.
The short answer: sometimes — but not always.
Screwless dental implants tend to deliver the most value when:
Aesthetic outcomes are a top priority
The implant is in a highly visible area
The case is well planned from the beginning
The clinician has extensive experience with this system
They may offer less value when:
Accessibility for future repairs is a concern
Bite forces are extremely high
Cost efficiency is the primary goal
Higher cost does not automatically mean better — it means more specialised.
Ideal candidates often include patients who:
Prioritise natural appearance
Have stable bite alignment
Maintain excellent oral hygiene
Understand the long-term commitment to care
Not every patient benefits from a screwless approach, and ethical providers will explain this clearly rather than presenting it as a universal upgrade.
Easier retrieval and maintenance
More forgiving in complex cases
Widely used for full-arch restorations
Superior aesthetics
No visible access points
Higher dependence on precision and skill
Neither system is “better” in every situation. The right choice depends on clinical needs, long-term planning, and patient priorities.
Screwless dental implants are best understood not as a cheaper or more expensive option, but as a different philosophy of restoration.
When properly planned and expertly executed, they can deliver exceptional aesthetic and functional results. When chosen for the wrong reasons, they can add unnecessary complexity and cost.
If you are researching screwless dental implants cost, the most important question is not “How much?” —
but “Is this the right system for my case?”
The answer to that question determines real value far more than any price tag.
Need help? We're here for you.
Get in Touch!