Patient:Michael Gibson Age: Time:2026-01-18 View:1122
As an international patient, I spent a long time looking for a solution to my dental problems. The cost of treatment in my home country was simply too high, which made me hesitant to move forward.
After weeks of research and comparison, I came across Vietnam Dental Implants & Travel. This blog is a personal diary of my treatment journey, written to share my real experience and hopefully help others who are considering dental implants in Vietnam.
At first, traveling overseas for dental treatment felt like a big decision. I looked into several countries, but Vietnam stood out for its reputation in dental care, experienced dentists, and reasonable pricing.
What made me feel comfortable was how professional yet genuine the communication felt. Vietnam Dental Implants & Travel was clear about the process, the treatment plan, and what to expect. There was no pressure—just clear explanations—which helped me trust my decision.
After a long flight, I was relieved to see a representative from Vietnam Dental Implants & Travel waiting for me at the airport. The greeting was warm and friendly, and they helped me with my luggage right away.
Having someone there to pick me up made everything much easier, especially since it was my first time in Vietnam. I didn’t have to worry about transportation or directions, which immediately helped me feel more relaxed.

Before traveling, I had an online consultation with the dental team. They reviewed my case carefully and explained my condition in simple terms that I could easily understand.
What I appreciated most was that the consultation felt honest rather than sales-focused. They took time to answer my questions and didn’t rush the conversation, which gave me confidence before even arriving in Vietnam.
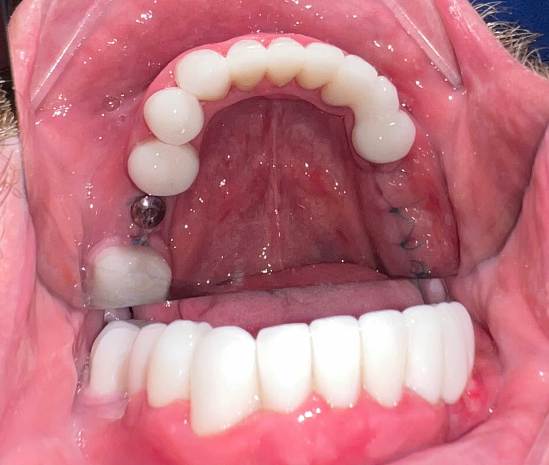
When I visited the clinic in person, my first impression was how clean and modern everything looked. The atmosphere was calm, and the staff were polite and welcoming.
The dentist examined my teeth thoroughly and walked me through the implant treatment plan step by step. I never felt rushed, and every detail was explained clearly, which helped ease my nerves.
Going into the implant procedure, I was understandably nervous. However, the dental team communicated clearly throughout the process and regularly checked how I was feeling.
Their calm and gentle approach made a big difference. While there was some discomfort afterward, it was exactly what they had prepared me for, so nothing came as a surprise.


The recovery process was well managed. I received clear aftercare instructions and had follow-up appointments to check my healing progress.
Whenever I had questions, the staff were quick to respond and helpful. It felt reassuring to know that they were paying attention to my recovery, not just the procedure itself.
Looking back, the entire experience was smoother than I expected. From the first online consultation to the treatment and recovery, everything was well organized.
What stood out to me most was the patient-focused approach. I felt respected, informed, and supported throughout the process, which made a big difference as an overseas patient.

After my treatment was completed, a clinic representative kindly took me to explore some local areas. I had the chance to experience Vietnamese culture, try local food, and see parts of the city I wouldn’t have discovered on my own.
In the evenings, I also got to experience Vietnam’s lively nightlife, which was a nice way to relax after treatment days. This part of the trip made the whole journey feel more like a positive travel experience rather than just a medical visit.

Choosing to get dental implants overseas is not a small decision. Based on my personal experience, Vietnam Dental Implants & Travel provided professional care, clear communication, and thoughtful support throughout the journey.
Everyone’s situation is different, but I hope sharing this honest experience helps others feel more confident when considering dental treatment in Vietnam.
Need help? We're here for you.
Get in Touch!